炭酸ミネラルウォーターを飲むのは良いですか?知っておくべき10の利点と害
1. 炭酸ミネラルウォーターとは何ですか?
炭酸ミネラルウォーターは、炭酸ガスに高圧で曝気してソーダに似た泡を発生させた水です。炭酸ミネラルウォーターには、マグネシウム、カルシウム、重炭酸塩、ナトリウム、硫酸塩、塩化物などのミネラルやその他の天然化合物が通常の水道水の何倍も含まれています。

炭酸ミネラルウォーターには高レベルの微量ミネラルが含まれており、水分補給と体にリフレッシュをもたらします。
2. 炭酸ミネラルウォーターの利点と害
エコノミック&アーバン新聞によると、炭酸ミネラルウォーターは安全で、多くの健康上の利点をもたらします。しかし、科学的に使用されない場合、この種の水は依然としてユーザーに悪影響を与える可能性があります。
2.1.炭酸ミネラルウォーターの健康効果
2.1.1.体重を減らし、体型を維持する
ジュニパー氏によると、炭酸ミネラルウォーターに含まれる炭酸の量は食欲を抑える効果があるそうです。さらに、この水源には炭酸が含まれており、新陳代謝を促進し、カロリーと余分な脂肪をより効果的に燃焼させます。科学的な食事や運動と組み合わせて炭酸ミネラルウォーターを使用すると、体のバランスを整えて健康を保つことができます。
2.1.2.体を解毒する
Hellobacsiによると、体をデトックスする効果的な方法の 1 つは、水をたくさん飲んでミネラルを補給することです。ミネラル分が豊富な炭酸ミネラルウォーターは、身体の浄化に効果的とされています。ミネラルウォーターとイチゴ、キュウリ、ミント、オレンジ、レモンなどの果物を組み合わせると、風味が増し、体の浄化に役立つビタミンが追加されます。
2.1.3.鼓腸や膨満感を軽減します
炭酸ミネラルウォーターの重炭酸成分は、体内に入ると胃内の過剰な酸と反応して、pHのバランスを整えます。したがって、炭酸ミネラルウォーターは、潰瘍、鼓腸、膨満感などの胃の病気を持つ多くの人に使用されています。
2.1.4.骨粗鬆症の予防
Health and Life 新聞によると、炭酸ミネラルウォーターのカルシウム含有量は約 20mg/l です。したがって、この水源を科学的に利用することは、骨を強化し、骨粗鬆症や骨や歯の痛みに関連する問題のリスクを軽減するのに役立ちます。
2.1.5.ストレスを軽減する
Health and Life 誌によると、マグネシウムはストレス、不安、うつ病の軽減に効果的な微量栄養素です。炭酸ミネラルウォーターを毎日飲むことは、約 118mg/l のマグネシウムレベルを補って、よく眠り、痛みを避けるための方法の 1 つです。 頭痛、倦怠感。
2.1.6.心臓病や糖尿病のリスクを軽減します
炭酸ミネラルウォーターには重炭酸塩が含まれており、健康な血液のpHを維持しながら、悪玉コレステロール(LDL)の蓄積を防ぎ、減少させるのに役立ちます。これらは体内の脂肪代謝をスムーズにし、血管壁をきれいにし、心血管疾患を予防するのに重要な要素です。
2.1.7.便秘や消化不良を防ぐ
ビンメック病院の研究によると、便秘の原因の一つは体内の水分不足や電解質の異常にあります。したがって、便秘の人は、腸内に水を引き込み、腸の筋肉を弛緩させ、便を柔らかくして排出しやすくするために、マグネシウムを含む炭酸ミネラル水を使用する必要があります。さらに、このタイプの水にはすぐに水分補給できる電解質が多く含まれているため、適切に使用すれば便秘のリスクを防ぐことができます。

定期的に激しい運動をする人は、体に水分を補給するために炭酸ミネラルウォーターを補給することをお勧めします。
2.2.炭酸ミネラルウォーターの限界
2.2.1.プラスチック中毒の危険性
Dan Tri紙によると、米国での研究では、ボトル入りの水1リットルには平均約25万個のマイクロプラスチック粒子が含まれていることが示された。これらの化学物質は、特に高温にさらされた場合や輸送の影響により、漏洩して内部の水を汚染する可能性があります。マイクロプラスチックが人体に入ると、がん、アレルギー、蜂窩織炎などを引き起こす可能性があります( フエ医科薬科病院による)。
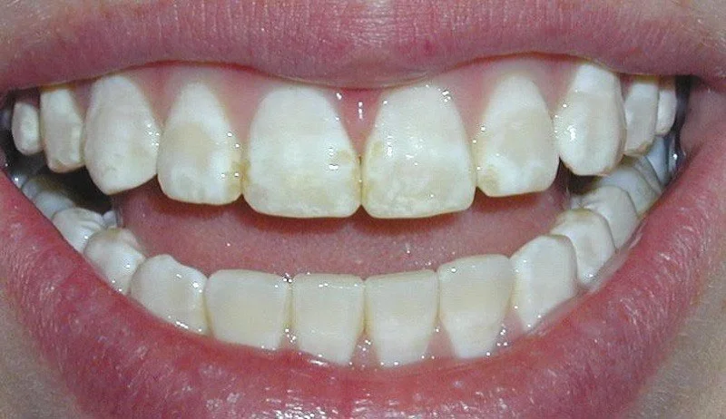
2.2.2.口腔の健康に影響を与える
ビンメック病院によると、炭酸ミネラルウォーターは pH 3 ~ 4 の弱酸性で、炭酸ソーダと多量のフッ素(2g/l 以上)も含まれています。長期間大量に使用すると歯が黄色くなるだけでなく、歯のエナメル質にも影響を与える可能性があります。

歯のエナメル質の損傷は、歯痛、虫歯、知覚過敏などのさまざまな病気を引き起こす可能性があります。
2.2.3.一部の視聴者には適していません
炭酸ミネラルウォーターには健康に良いミネラルが豊富に含まれていますが、誰でも使えるわけではありません。次のような人には、この種の水を飲まないように勧められます。
- 高血圧、浮腫のある人、ダイエット中の人: ダン・トリ新聞によると、炭酸ミネラルウォーターにはナトリウム(塩分)が多く含まれています。これは、症状の悪化を避けるために、上記のグループの人々の毎日の食事で制限する必要がある成分です。
- 人々 敏感な消化器系を持っている: Long Chau Pharmacyによると、炭酸ミネラルウォーターには重炭酸塩が大量に含まれているため、この水を使いすぎると鼓腸、膨満感、さらには大腸炎を引き起こす可能性があります。
では、炭酸ミネラルウォーターを飲むのは良いのでしょうか?一般に炭酸ミネラル水には体に良い微量ミネラルが多く含まれていますが、乱用は禁物です。 Long Chau薬局によると、体内の過剰なミネラルや塩分が高血圧やむくみなどを引き起こすのを避けるために、炭酸ミネラルウォーターは1日あたり約500~1000ml程度しか飲まないようにしてください。
高血圧の人や消化器官が敏感な人の両方に適した、ミネラルや抗酸化物質が豊富な高純度アルカリイオン水の使用を検討してみてはいかがでしょうか。アルカリイオン水は毎日の飲料水の代わりに使えます。
3. 炭酸ミネラルウォーターを使用する際の注意点
炭酸ミネラルウォーターは通常、毎日補給することができます。ただし、健康への悪影響を避けるために科学を活用する方法を知っておく必要があります。
- 頻度: 1 日に何本のミネラルウォーターを飲むべきですか?健康で、消化器官や歯に問題がない場合は、1 日あたり 1 ~ 2 ボトル (330 ~ 500 ml) を飲んでも安全であり、発汗によって失われる必要な量の水分を補給できます。ただし、歯をよりよく保護するには、フッ化物を含むろ過水と組み合わせる必要があります。
- 飲むタイミング:重炭酸塩の有効成分が胃酸と相互作用して腸炎や胃痛を引き起こすのを避けるため、空腹時には飲まないでください。食後や激しい運動の後は、速やかに水分補給するために炭酸ミネラルウォーターを使用するとよいでしょう。
- 使用方法:炭酸ミネラルウォーターを毎日ろ過水の代わりに使用しないでください。同時に、ミネラルの変化や健康に有害な有効成分の形成を避けるために、直接沸騰させたり調理したりしないでください。
アルカリイオン水 - 炭酸ミネラルウォーターに代わる毎日の微量ミネラルを補給するソリューション
4. 最適かつ安全なミネラル補給濾過水溶液
炭酸ミネラルウォーターは、ろ過水の代替として使用することは推奨されていませんが、ミネラル補給能力に優れているため、依然として多くの人に選ばれています。安全性を確保するには、機能性フィルターコアと組み合わせた RO 浄水器の使用、または長期的に効果的かつコスト効率の高い微量ミネラルが豊富な純水を迅速に添加するソリューションとしてアルカリ水素イオン電解技術の使用を検討できます。
Mutosi は、「日本の基準に従って健康的な生活を保護し、改善する」という使命のもと、 MP-P089K 、 MP-T666 、 MP-T888などの優れた利点を備えた多くの水素アルカリイオン整水器製品を発売しました。
ろ過水は日本の規格JIS S3201 & JWPAに準拠して13+6種類の有害物質を除去します。
ろ過水はQCVN基準を満たしています 6-1:2010/BYT 直接飲料水に関する。
世界的な NSF/ANSI 58 認証を取得したハイエンド RO フィルター膜は、安全性と濾過効率を保証し、国内の細菌、不純物、不快な臭気、重金属、有毒物質などを 99.99% 除去します。
800 ~ 1200 ppb の高い水素含有量、-600 mV までの負の ORP 抗酸化指数、pH 8 ~ 9.5、そして豊富なミネラル含有量を含む水源を、毎日の濾過水の代わりとして使用すると、老化と闘い、抵抗力を高めるのに役立ちます。
Mutosi 浄水器は、多くの機能と最新のテクノロジーを通じて健康な水を提供します
つまり、炭酸ミネラルウォーターは良いものですが、科学的に使用する必要があります。アルカリイオン水は、毎日の使用用途が多く、より多くの方にご検討いただけます。
この製品ラインについて詳しく知りたい場合は、 Mutosi Web サイトまたはホットライン1900.636.595までお問い合わせください。迅速なサポートが受けられます。